فكيف تُركَّب؟ وما هي مشاكل الأسنان التي تستدعي تركيب هوليود سمايل؟ وهل تستطيع تلك الابتسامة أن تمنح الشخص الثقة بالنفس حقًا؟ دعونا نُجيب على تلك الأسئلة المهمة :
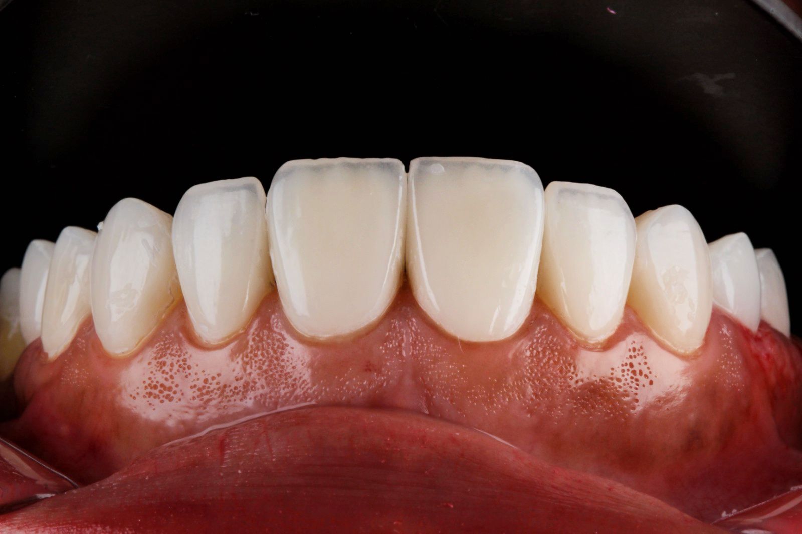
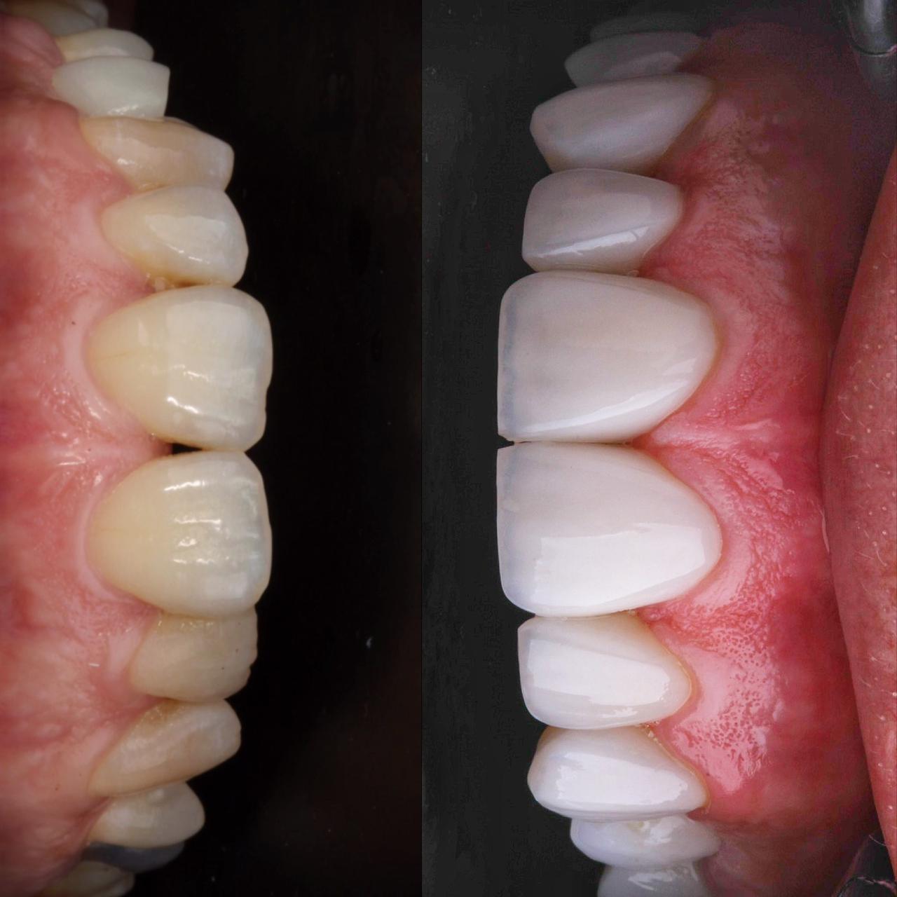
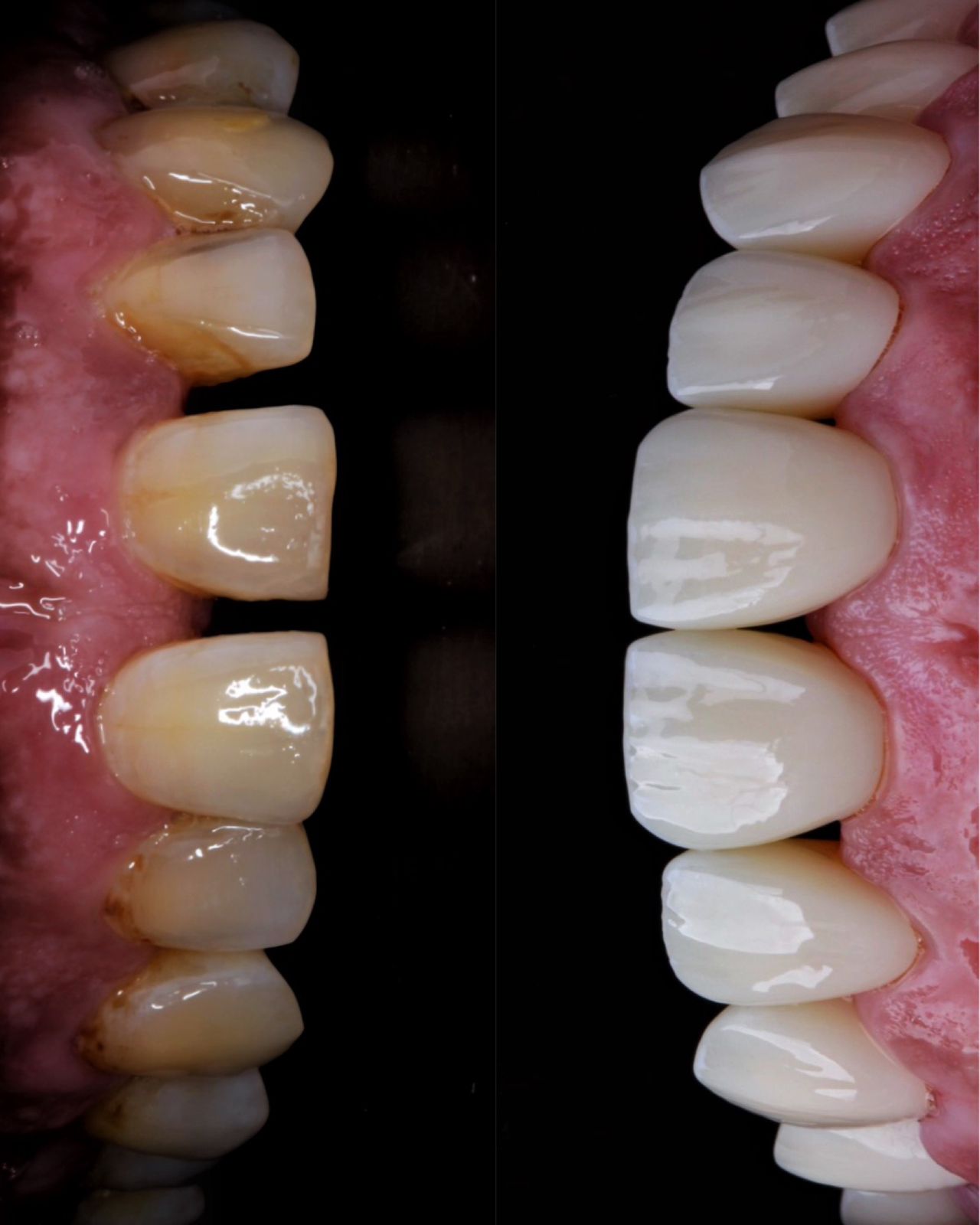
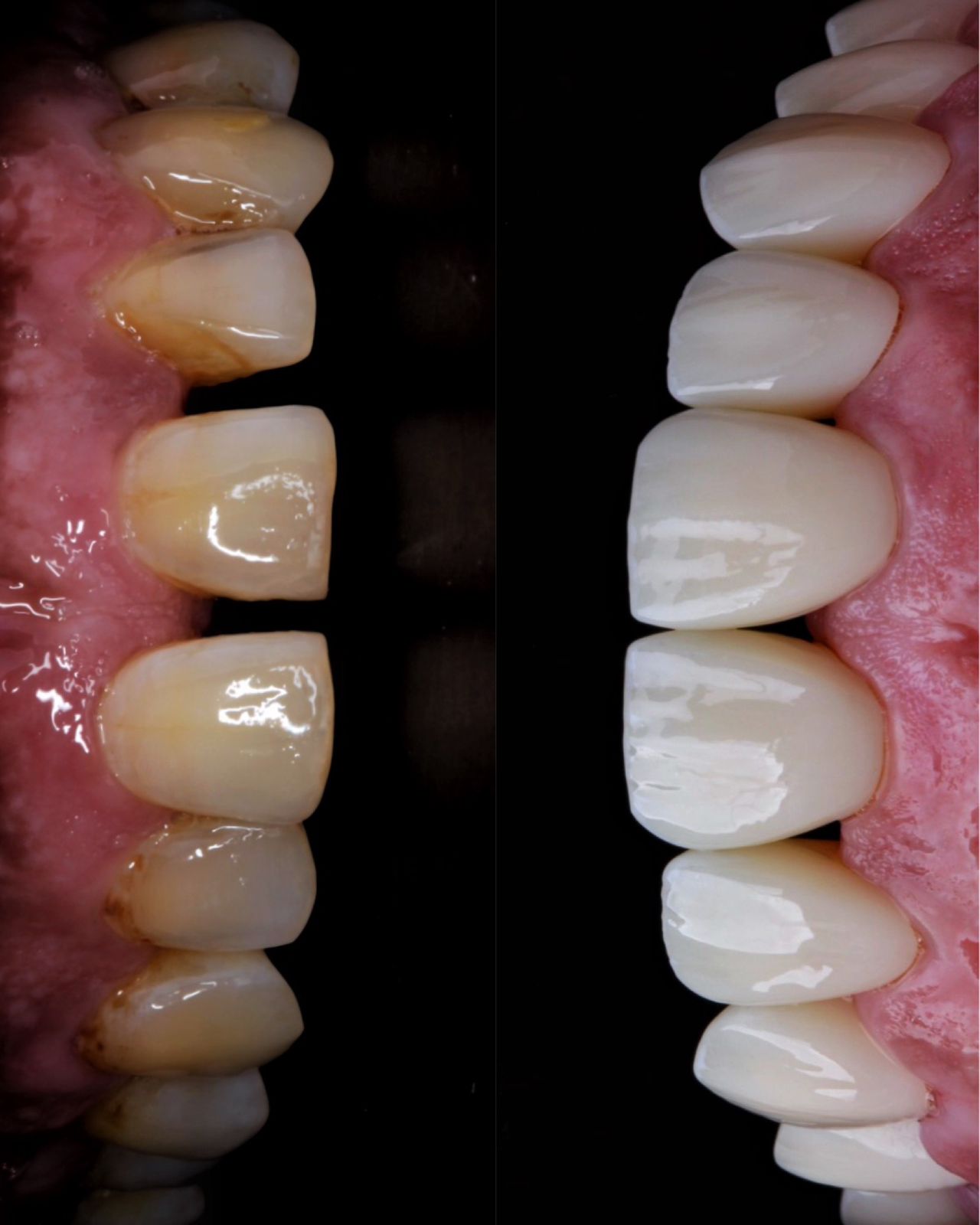
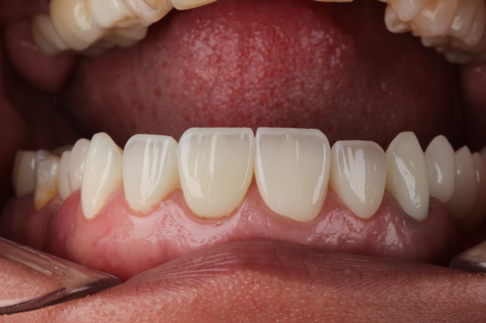
ابتسامة هوليود ليست مجرد إجراء تجميلي فقط، فبإمكانها علاج بعض مشاكل الأسنان الواضحة التي تؤثر على مظهر الابتسامة، وعادة ما يقترح طبيب الأسنان تركيب ابتسامة هوليود إذا كنت تواجه أحد المشاكل التالية :
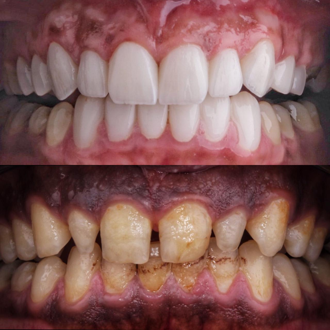
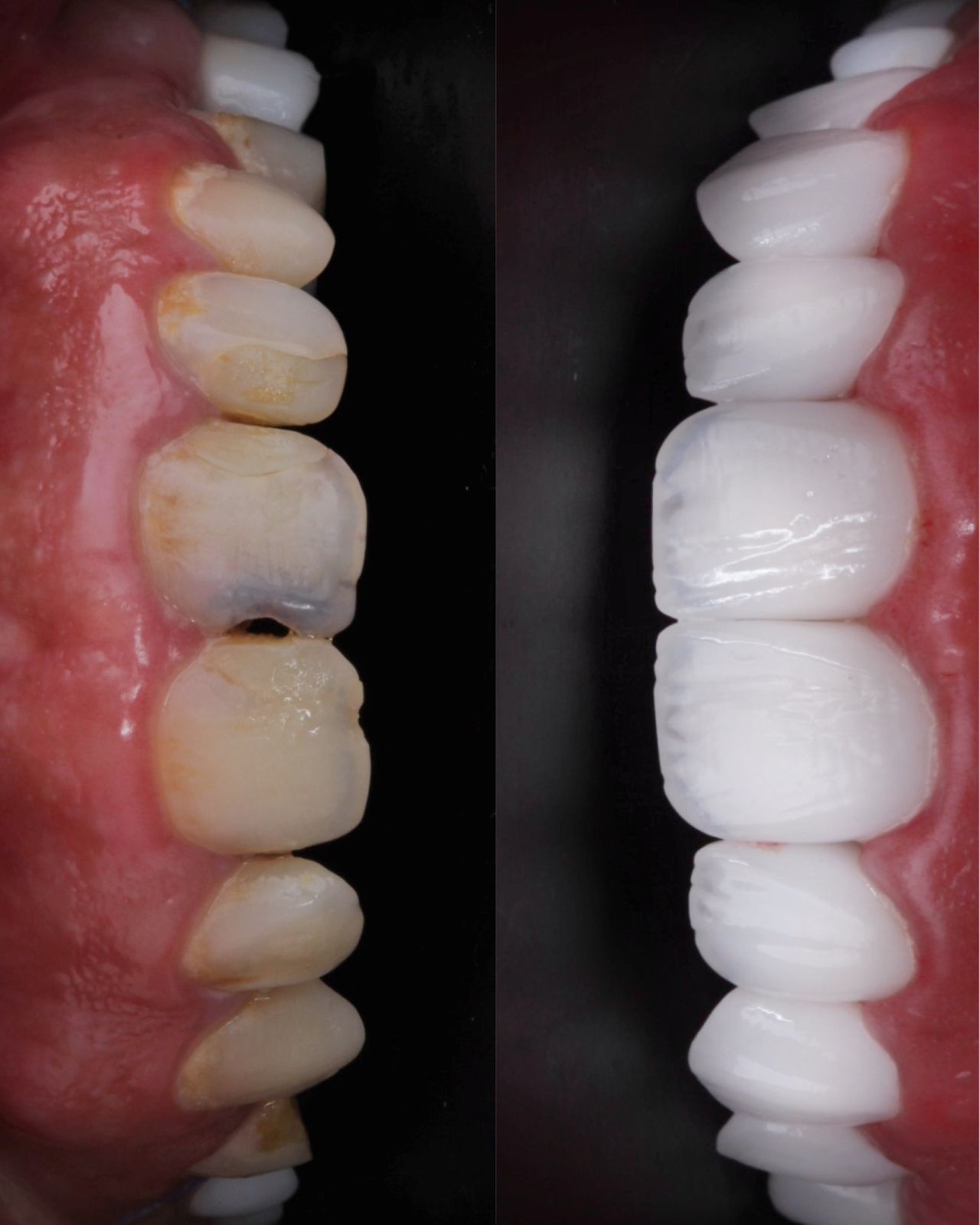
اصفرار الأسنان (في الحالات التي لا يمكن علاجها بجلسات التبييض بالليزر).
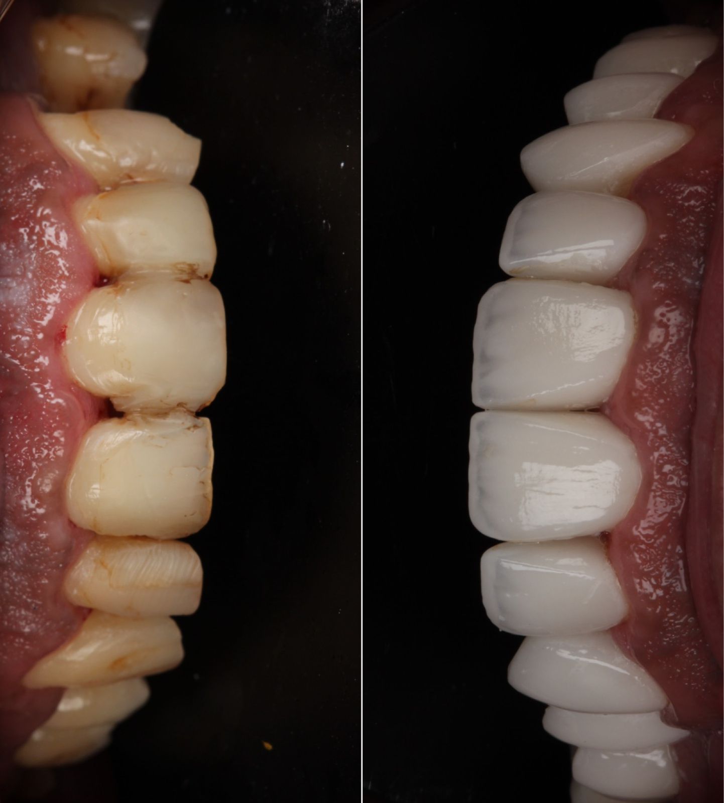
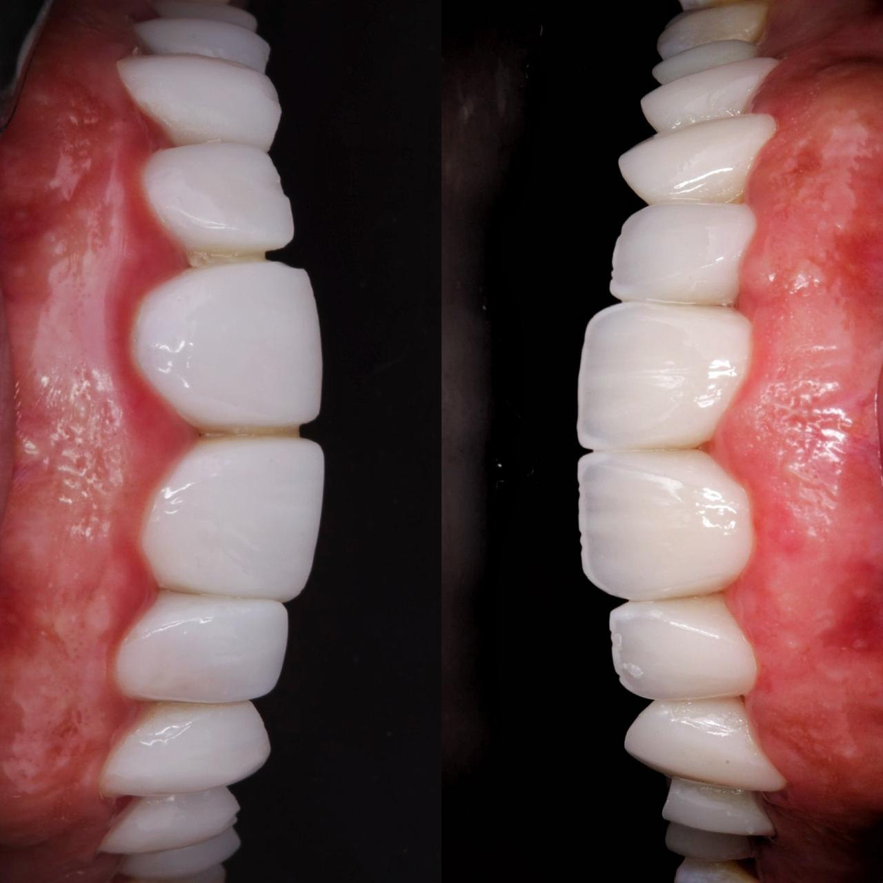
عدم انتظام الأسنان في الشكل أو الطول أو الحجم، فيمكن تنظيمها وترميمها بقشور الفينير ..
سد الفجوات بين الأسنان الأمامية ..
حماية الأسنان، حيث تشكل طبقة عازلة بين الطعام والأسنان الأصلية ..
تتوفر ابتسامة هوليود بنوعين :
ابتسامة ثابتة (لا يمكن للمريض إزالتها) .
ابتسامة متحركة يمكن للمريض وضعها في المناسبات مثلًا وإزالتها عند الحاجة لذلك .
فالطبيب المُعالج هو من يحدد النوع المناسب لك

